A few weeks ago in the big (and only) snowstorm of the season, Dottie and Jeep were up to their usual antics of snow wrestling when we saw Jeep jump up and land at an odd angle on her back left leg. She immediately pulled her leg up in pain and hobbled into the house. Playtime was over.
A few weeks later, Jeep was still limping and having greater trouble moving from a sitting position to a standing position. We brought her to the vet (whom she loves) to find out what was wrong.
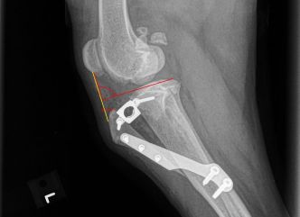
Through x-rays and tests, we learned that Jeep tore her CCL which is a ligament (much like a rubber band) that allows her knee to bend. (It is similar to the ACL ligament in people.)
Tomorrow Jeep will have a special type of surgery to repair the damage. A cut will be made into her tibia (shin) bone to separate it into two pieces then a screw will be placed in between to allow the knee to move in alignment. A bone plate will then be attached to the screw to stop it from moving. Then Jeep ‘s leg will be stitched up and she can come home. In 6-8 weeks her bone will grow around the metal pieces to give her a strong knee once more.
I am thankful Jeep will get to come home after the surgery because the vet will place pain medication right into her knee so she won’t feel any discomfort for at least three days. After that, she will have pain medication as she slowly mends. She will have to go back to visit the vet as she recovers.
The hard part will be that there will be NO running, NO playing, No climbing, NO jumping, NO horseplay and NO working for 6 – 8 weeks. Every time she goes outside she will have to be on a short leash. It is very important that she doesn’t damage her leg further. Jeep will not be able to come to school until sometime around Valentine’s Day. No doubt she will greatly miss all of her friends at school.
Keep your paws crossed for a smooth surgery and a speedy recovery for our fluff ball!! Stay tuned for weekly updates on her progress.
P.S. I sure hope Dot Com gets the “NO playfighting” message and lets our friend rest.
Below is a short video of Jeep limping around the house with Dot. We placed new carpet runners on the floors until she gets better so she won’t slip. It also helps her hobble away from Dot when she has a yummy treat to munch.
We will miss Jeep! Looking forward to a speedy recovery and for her to return to Thompson School!
LikeLike
She will miss her Tiger friends!
LikeLike
We will miss you Jeep.
LikeLike
Thinking of you and Jeep today……….. praying for successful surgery and comfort during healing…..
*Susan Smart RN BSN* *Health Coordinator* *Thompson Elementary School*
LikeLike